ヒトが不公平な提案を受け入れる時の脳内メカニズムを解明
〜脳の背側前帯状皮質が「不公平への感情」を抑える〜
2026年2月9日
ポイント
-
交渉の場で、不公平な提案を受け入れる時の脳内メカニズムを見出した
-
背側前帯状皮質が、不公平への感情を抑えることで不公平な提案を受け入れることを解明
-
この脳内メカニズムの理解は、交渉での不必要な対立を抑えることや、納得性の高い分配制度設計に貢献すると期待される
国立研究開発法人情報通信研究機構(NICT、理事長: 徳田 英幸)未来ICT研究所 脳情報通信融合研究センター(CiNet)の沼野正太郎協力研究員及び春野雅彦室長の研究グループは、交渉の場面でヒトが不公平な提案を受け入れるとき、脳の背側前帯状皮質が、不公平によって生じる感情を抑えることで不公平な提案を受け入れるという脳内メカニズムを見出しました。
今回、63名の参加者を対象にfMRI実験を行い、解析したところ、背側前帯状皮質が、腹外側前頭前野を介して、不公平によって生じる感情を抑えることが分かりました。具体的には、背側前帯状皮質と腹外側前頭前野の脳活動の同期の強さ(結合度)は人によって異なり、この結合度がマイナスの大きな値をとるほど不公平な提案を受け入れる割合が高まり、そのときの反応時間が短くなることがわかりました。この脳内メカニズムの理解は、交渉での不必要な対立を抑え、納得性の高い分配制度設計にも貢献すると期待されます。
本研究成果は、2026年2月5日(木)に、生物分野の重要研究を掲載する米国の科学誌「PLOS Biology」に掲載されました。
背景
お金や資源の分配をめぐる「交渉」は、家庭内の話し合いからビジネス、国際関係に至るまで、私たちの生活に深く関わる社会的なプロセスです。こうした場面は不公平を伴うことも多く、たとえ自分の取り分が少ない分配であっても、状況によっては「受け入れる」ことが少なくありません。
これまで、「拒否」に関しては研究が進んだ一方で、「受入れ」に関しては自分の報酬を最大化する脳の働きによって簡単に説明できる、と考えられてきました。つまり、相手の取り分に関係なく、1円でももらえれば「受け入れる」と考えられてきました。しかし、感情を持つヒトが不公平な提案を受け入れる脳内メカニズムは、本当にそれほど単純でしょうか。
そこで本研究では、「脳は不公平に対する不快な感情を抑えることで、不公平な提案を受け入れる」という仮説を立てました。この仮説を確かめるために、「最後通牒ゲーム」という課題を用い、脳活動を計測する実験を行いました。
今回の成果

図3 (A) 不公平な提案を受け入れる参加者ほど不公平に対して反応する脳領域(背側前帯状皮質)。(B) Aの脳領域と負の結合度を示す領域(腹外側前頭前野)。(C)背側前帯状皮質と腹外側前頭前野の結合度と不公平な提案の拒否率及び(D)反応時間。結合度が行動選択と反応時間を予測することがわかる。結合度がマイナスの大きな値を取るほど受け入れる率が高く、反応時間も短くなる。
[画像クリックで拡大表示]

図4 (A) 腹外側前頭前野と同期的に活動していた領域(扁桃体)。(B)本研究で明らかにされた不公平な提案を受け入れる脳メカニズム。
本研究では、実験参加者にMRI装置の中で「最後通牒ゲーム」を行ってもらいました。この課題では、各試行で別々の提案者からお金の分け方が提示され、参加者はその提案を受け入れるか、拒否するかを10秒以内に選択します(図1参照)。
実験の結果、参加者にとって不利(不公平)な提案になるほど拒否率が高くなることが分かりました(図2A参照)。さらに、極めて不利な提案では、提案を受け入れる人の反応時間が、拒否する人の反応時間よりも長くなることが明らかになりました(図2B参照)。このことは、不利な条件を受け入れる際には、単なる「報酬の最大化」以上に、より複雑な意思決定プロセスが働く可能性を示唆します。
そこで、分配の受入れ/拒否という行動選択と反応時間の両方から意思決定を分析できる「ドリフト拡散モデル(Drift Diffusion Model:DDM)」を用いて解析を行いました(補足資料参照)。具体的には、「不公平な提案に対する不快な感情を抑えることで提案を受け入れる」という過程に関わる脳部位を明らかにするため、DDM解析を用いて、不公平な提案をより受け入れる参加者ほど、不公平に対して強く反応する脳領域を探索しました。その結果、背側前帯状皮質が見つかりました(図3A参照)。
次に、不公平な条件が提示されたときに、この背側前帯状皮質が抑制的に働くと考えられる脳領域、すなわち負の結合度を示す領域を探索したところ、腹外側前頭前野が見つかりました(図3B参照)。さらに、背側前帯状皮質と腹外側前頭前野の結合度から、各参加者が不公平な提案を受け入れる割合(拒否率、図3C参照)と、反応時間(図3D参照)の両方を予測できることが分かりました。一方で、報酬に関わる脳活動からは、このような予測はできませんでした。
腹外側前頭前野は、脳内で不快な情動に関わるとされる扁桃体と、解剖学的にも機能的にも強く結びついていることが知られています。本研究でも、参加者にとって不公平な提案が示されたとき、腹外側前頭前野と扁桃体の活動が同期していることが分かりました(図4A参照)。
以上の結果は、ヒトが不公平な提案を受け入れる際には、背側前帯状皮質が腹外側前頭前野を介して、扁桃体に表現される不公平に伴う感情・情動を抑制する脳内メカニズムが重要であることがわかりました(図4B参照)。
今後の展望
今後は、今回見つかった「不公平な提案を受け入れる際に、不公平に伴う感情を抑える脳の働き」に着目し、その働きを変化させたときに受入れ率が実際に変わるかを検証することで、脳活動と行動の因果関係を明らかにします。さらに、人々が納得して受け入れられる分配制度の設計へと発展させる可能性についても検討します。
論文情報
著者名: Shotaro Numano, Chris Frith, Masahiko Haruno
掲載論文名: The human dorsal anterior cingulate facilitates acceptance of unfair offers and regulates inequity aversion
掲載誌: PLOS Biology
DOI: 10.1371/journal.pbio.3003007
なお、本研究の一部は、科学研究費補助金 学術変革領域研究(A)「行動変容を創発する脳ダイナミクスの解読と操作が拓く多元生物学」、JST戦略的創造研究推進事業チーム型研究(CREST)「生体マルチセンシングシステムの究明と活用技術の創出」研究領域における研究課題「サイバー社会における多重世界予測符号化の解明」(研究代表者: 春野雅彦)、JST ムーンショット型研究開発事業「2050年までに、人が身体、脳、空間、時間の制約から解放された社会を実現」研究領域における研究課題「誰もが自在に活躍できるアバター共生社会の実現」及び「2050年までに、こころの安らぎや活力を増大することで、精神的に豊かで躍動的な社会を実現」の一環として行われました。
今回実施したすべての実験は、NICTの倫理委員会の承認を得ており、実験参加者には実験内容を事前説明の上、参加への同意を取っています。
補足資料
実験の内容と結果の詳細
最後通牒ゲーム
63名の参加者を対象に、fMRIで脳活動を計測しながら最後通牒ゲームを行いました(図1参照)。課題では参加者に対して、実験報酬の取り分に関する提案が提示されます。参加者は10秒以内に「受入れ」か「拒否」をボタンで選択し、回答しました。参加者には、これら提案が参加者と同年代の第三者によって作成されたものだと事前に通知されていました。
本研究では、「脳は不公平に対する不快な感情(葛藤)を抑えることで不公平な提案を受け入れる」という仮説を立てました。その葛藤により反応時間に差異が生まれることが期待されました。そこで行動データとして、それぞれの提案に対する「拒否率(受入れ/拒否の割合)」と選択にかかる「反応時間」の両方を記録しました(図2A、B参照)。
提案における報酬の取り分の比率は、研究者によって事前に決定されたものがランダムに提示されています。取り分の比率は、自分(参加者)の取り分と相手の取り分の比がそれぞれ1/9(自分が非常に不利、例: 図1のTaro:452円 You:49円)、1/4、3/7、2/3、1/1(完全に公平)、3/2、7/3(自分が非常に有利)の7パターンのいずれかになっていました。なお、この実験条件において、「不公平」が指すものは2種類あります。
- 自分にとって不利な不公平(DI:Disadvantageous Inequity):自分の取り分が相手より少ない状態(例:図1 Taro:452円 You:49円にみられる1/9など)
- 自分にとって有利な不公平(AI:Advantageous Inequity):自分の取り分が相手より多い状態(例:Taro:207円 You: 296円にみられる3/2など)
さらに、この課題には上記2つの他に実験参加者の行動へ影響を与えうるパラメータとして、
- 自分が受け取る報酬(Self-reward; SR)
- 相手が受け取る報酬(Other-reward; OR)
の2つも存在します。これら4つのパラメータのうち、本研究では特に「不利な不公平(DI)」に注目して実験計画と解析を行っています。
行動データの解析の詳細

図5 ドリフト拡散モデル(DDM)の模式図
単に「受け入れた/拒否した」という結果だけでなく、「どのくらい悩んだか」を反映すると考えられる反応時間も考慮した解析を行うため、「ドリフト拡散モデル(Drift Diffusion Model:DDM)」という計算モデルを用いました(図5参照)。
DDMでは、「時間とともに証拠を少しずつ積み上げていき、上下どちらかの境界に達したときに、対応する選択肢の行動を選ぶ」プロセスとして意思決定を表現します。DDMが持つパラメータは以下の4つです。
- ドリフト:どちらの選択肢に傾きやすいか
- 境界:決断に必要な証拠量
- バイアス:初期状態でどちらに傾いているか
- 非決定時間:知覚や運動反応など、意思決定そのもの以外に要する時間
本研究では実験参加者の行動モデルとして、課題に登場する次の4つのパラメータがドリフトへ影響を与えると考えました。
- 自分が受け取る報酬(Self-reward; SR)
- 相手が受け取る報酬(Other-reward; OR)
- 自分にとって不利な不公平の度合い(DI):相手の報酬の方が少ない場合は0とし、自身の報酬が少ない場合はORとSRの差分を用いる
- 自分にとって有利な不公平の度合い(AI):相手の報酬の方が多い場合は0とし、自身の報酬が多い場合はSRとORの差分を用いる
各パラメータを組み合わせたモデルを複数想定し、渡辺・赤池情報量基準(WAIC)を用いて、最も行動をよく説明する最適なモデルを確認しました。その結果、ドリフトが「自分の取り分(SR)、自分にとって不利な不公平の度合い(DI)、自分にとって有利な不公平の度合い(AI)」の3つの要因を組み合わせたとき、モデルが最もよく行動を説明することを見出しました。
さらにモデルにより推定された各人のパラメータと行動を対応づけると、特に自分にとって不利な不公平に対する重み β(DI) が重要であることがわかりました。β(DI) が大きい人達は、自分にとって不利な不公平を強く嫌い、そのような提案を頻繁に拒否していました。そうした人達は、不利条件での「受入れ」が相対的に遅く、「拒否」は速くなっていました。一方、β(DI) が 小さい人達は、自分にとって不利な不公平をあまり気にせず受け入れており、その分「拒否」は相対的に遅くなっていました。つまり、表向きの選択(受入れ/拒否)だけでは見えない、「不公平を我慢して受け入れるために、内部で折り合いをつけている人」が存在することが、DDMパラメータから明らかになりました。
DDMを用いたfMRIデータの解析
DDMから得られたβ(DI)を手がかりに、fMRIデータを解析しました。β(DI)が小さい参加者ほど、不利な不公平が大きいときほど強く活動する領域を探したところ、背側前帯状皮質(dACC)に活動が見られました(図3A参照)。
この背側前帯状皮質が活動を抑制する脳領域を調べるため、心理生理学的相互作用解析を行いました。その結果、不利な不公平が強いとき、背側前帯状皮質と腹外側前頭前野との結合度(脳活動の相関)が負に強まることがわかりました(図3B参照)。さらに、この背側前帯状皮質と腹外側前頭前野の結合度は、不利な提案の拒否率と、不利条件における「受入れ」選択の反応時間に、それぞれ有意に相関しました(図3C、D参照)。つまり、不利な不公平が強いときに、背側前帯状皮質の活動が高まり、腹外側前頭前野の活動がより制御されると、不利な提案を受け入れやすくなるとともに、「受け入れる」までの反応時間は短くなっていました。言い換えれば、背側前帯状皮質と腹外側前頭前野のネットワークが、不利な不公平に対する受入れ/拒否を決定づけるだけでなく、「どれくらい速く受け入れるか」にも関わることが示唆されました。一方で報酬に関係する脳活動から不利な提案の拒否率と、不利条件における「受入れ」選択の反応時間の予測はできませんでした。
腹外側前頭前野と扁桃体の関連
腹外側前頭前野は、感情の認知的コントロールに関わる前頭葉の領域です。この領域はヒト脳内で不快な情動を処理するとされる扁桃体(amygdala)と、解剖学的にも機能的にも強く結びついていることが知られています。そこで、腹外側前頭前野と扁桃体の機能的結合を調べたところ、不利な不公平が大きい提案のタイミングで、腹外側前頭前野と扁桃体の活動が同期していました(図4A参照)。一方でこの結合度は選択や反応時間を予測しませんでした。このことは、腹外側前頭前野は扁桃体が持つ「不公平感」やネガティブな感情をモニターしつつ調整する役割を担っているが、実際の「受入れ/拒否」や「速さ」の行動特徴は、主に背側前帯状皮質と腹外側前頭前野のネットワークから生まれる、という構図を示唆します(図4B参照)。
不公平とヒトの意思決定
ここまで、「脳は不公平に対する不快な感情(葛藤)を抑えることで不公平な提案を受け入れる」メカニズムを見てきました。最後に「報酬に対する快感情を抑えることで不公平な提案を拒否する」いわば今までと対称なメカニズムが存在するかを調べるために解析を行いました。その結果、そのような脳活動パターンは検出されませんでした。このことは、最後通牒ゲームという限られた範囲ではありますが、不公平に伴う負の感情がヒトの意思決定に対して持つ影響の大きさを示唆していると考えられます。
用語解説
背側前帯状皮質 大脳半球内側面の前方部に位置する襟のような形をした領域で、競合の検出や解消、コストの計算、共感、情動など多くの重要な機能に関与している(右図の赤い部分)。 元の記事へ
fMRI実験 機能的磁気共鳴画像法(fMRI)は、脳の活動を領域の血流量の変化を用いて測定する、非侵襲的な画像技術。ヒトの脳部位の機能を詳細に調べることができるため神経科学や医療の現場で広く活用されている。 元の記事へ
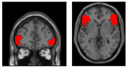
腹外側前頭前野
大脳半球外側面の前方部に位置する領域で、意思決定や情動など重要な機能に関与している(右図の赤い部分)。 元の記事へ
扁桃体
脳の辺縁系に属するアーモンド状の脳領域で、恐怖や不安などの情動処理や顔の表情理解などに関与している(右図の赤い部分)。 元の記事へ
渡辺・赤池情報量基準 統計モデルの評価に使われる指標の一つで、「どのモデルがデータに最も適しているか」を判断するために用いられる。 元の記事へ
心理生理学的相互作用解析 生理的な指標として評価できる脳活動が、心理的な条件下でどのように変化するのかを統計的に検討する手法。具体的には、ある脳領域の活動と課題条件の積(交互作用項)を評価することで、その交互作用項が脳の他のどの領域の活動を予測するかを調べる。注目した脳領域と予測された脳領域とが、課題の条件に依存して、連動していること、つまり結合度がこの手法で確認できる。 元の記事へ
本件に関する問合せ先
未来ICT研究所
脳情報通信融合研究センター
脳情報工学研究室
春野 雅彦
E-mail: mharuno
nict.go.jp
nict.go.jp広報(取材受付)
広報部 報道室
E-mail: publicity
nict.go.jp
nict.go.jp
